A Hidrocefalia de Pressão Normal (HPN) é uma condição neurológica caracterizada pelo acúmulo excessivo de líquido cefalorraquidiano (LCR) nos ventrículos cerebrais, levando à sua dilatação sem um aumento significativo da pressão intracraniana. Comumente diagnosticada em idosos, a HPN apresenta um trio clássico de sintomas: dificuldades de marcha, declínio cognitivo e incontinência urinária. Esses sintomas são frequentemente confundidos com sinais normais do envelhecimento ou com outras doenças neurodegenerativas, como Alzheimer ou Parkinson.

Causas e Fatores de Risco
Embora a causa exata da HPN seja desconhecida na maioria dos casos, ela pode ser classificada em duas categorias:
- HPN Idiopática: sem causa identificável, é a forma mais comum em idosos.
- HPN Secundária: associada a condições como hemorragia subaracnóide, infecções do sistema nervoso central, traumas cranianos ou complicações cirúrgicas.
Fatores de risco:
- Idade Avançada: o principal fator de risco, com maior incidência em indivíduos acima de 60 anos.
- Histórico de Infecções ou Sangramentos: eventos como meningite, encefalite ou hemorragias intracranianas podem contribuir para o desenvolvimento da HPN.
- Procedimentos Cirúrgicos Prévios: cirurgias cerebrais podem alterar a dinâmica do LCR.
Sinais e Sintomas
A HPN manifesta-se com um conjunto de sintomas que afetam significativamente a qualidade de vida dos pacientes:
- Distúrbios da Marcha
- Características: é frequentemente o primeiro e mais evidente sintoma. O paciente apresenta um caminhar lento, instável, com passos curtos e dificuldade para iniciar a marcha, conhecido como “marcha magnética” ou “marcha em pequenos passos”.
- Impacto: aumenta o risco de quedas e limitações nas atividades diárias.
- Comprometimento Cognitivo
- Características: dificuldade de concentração, apatia, lentificação do pensamento e perda de memória recente, podendo se assemelhar a quadros de demência.
- Diferença de Outras Demências: ao contrário do Alzheimer, a memória remota é relativamente preservada, e há maior impacto nas funções executivas.
- Incontinência Urinária
- Características: inicia-se com urgência miccional (necessidade súbita de urinar) e pode evoluir para perda involuntária de urina.
- Impacto: afeta a autoestima e pode levar ao isolamento social.
Diagnóstico
O diagnóstico da HPN requer uma avaliação cuidadosa e multidisciplinar, visando excluir outras condições e confirmar a presença da tríade clássica de sintomas.
Avaliação Clínica
- História Clínica Detalhada: investigação dos sintomas, sua progressão e impacto na vida diária.
- Exame Neurológico: avaliação da marcha, funções cognitivas e controle esfincteriano.
Exames de Imagem
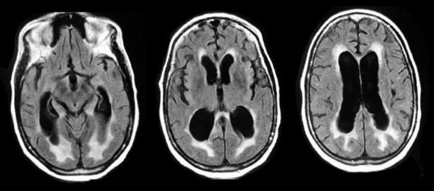
- Ressonância Magnética (RM): método preferencial, revela dilatação dos ventrículos cerebrais (hidrocefalia ventriculomegalia) sem atrofia cortical significativa.
- Tomografia Computadorizada (TC): pode ser utilizada quando a RM não está disponível, mostrando ventriculomegalia.

RMN DE ENCÉFALO COM VENTRÍCULOS DILATADOS E EDEMA TRANSEPENDIMÁRIO
Testes Funcionais
- Tap Test (Punção Lombar Diagnóstica):
- Procedimento: remoção de um volume de LCR (30-50 ml) através de punção lombar.
- Objetivo: avaliar a melhora temporária dos sintomas, especialmente da marcha e cognição, indicando boa resposta ao tratamento cirúrgico.
- Drenagem Lombar Prolongada:
- Procedimento: A drenagem lombar prolongada envolve a inserção de um cateter no espaço subaracnoide lombar (região inferior das costas) para permitir a drenagem contínua do líquido cefalorraquidiano (LCR) por um período de 2 a 7 dias. O procedimento é realizado sob anestesia local, em ambiente hospitalar, com monitoramento cuidadoso para prevenir complicações como infecções ou alterações na pressão intracraniana.
- Objetivo: O principal objetivo da drenagem lombar prolongada é fornecer informações mais precisas sobre a resposta do paciente à remoção de LCR. Ao drenar o líquido de forma contínua, é possível observar se há melhora sustentada nos sintomas da hidrocefalia de pressão normal, especialmente nos distúrbios da marcha, funções cognitivas e controle esfincteriano. Este teste prognóstico ajuda a identificar pacientes que provavelmente se beneficiarão da derivação ventriculoperitoneal, auxiliando na decisão sobre a intervenção cirúrgica mais adequada.
Tratamento
O tratamento mais eficaz para a HPN é cirúrgico, visando restaurar a dinâmica normal do LCR.
Derivação Ventriculoperitoneal (DVP)
- Procedimento: implantação de um sistema de derivação que redireciona o excesso de LCR dos ventrículos cerebrais para a cavidade peritoneal (abdominal), onde é reabsorvido.
- Componentes:
- Cateter Ventricular: inserido no ventrículo lateral do cérebro.
- Válvula de Controle de Fluxo: regula a quantidade de LCR drenado. As válvulas programáveis modernas permitem ajustes externos para evitar complicações como hiper ou hipodrenagem.
- Cateter Distal: conduz o LCR até a cavidade abdominal.

Outras Opções
- Derivação Ventriculoatrial: desvia o LCR para o átrio direito do coração, usada quando a cavidade peritoneal não é viável.
- Derivação Lumboperitoneal: drena o LCR do espaço subaracnoide lombar para o peritônio.
- Endoscopia Cerebral: em casos selecionados, pode ser realizada uma ventriculostomia endoscópica do terceiro ventrículo.
Prognóstico
O prognóstico da HPN depende de vários fatores:
- Diagnóstico Precoce: pacientes tratados nos estágios iniciais apresentam maior probabilidade de melhora significativa.
- Resposta ao Tap Test: uma melhora após a punção lombar indica boa chance de sucesso com a derivação.
- Sintomas Predominantes:
- Marcha: geralmente apresenta a melhor resposta ao tratamento.
- Cognição: pode melhorar, mas nem sempre retorna ao normal, especialmente em casos avançados.
- Incontinência: pode ter melhora variável.
Considerações Finais
A Hidrocefalia de Pressão Normal é uma condição tratável que, quando reconhecida e manejada adequadamente, pode melhorar significativamente a qualidade de vida dos idosos. É essencial diferenciar a HPN de outras demências e distúrbios de marcha para evitar diagnósticos equivocados e intervenções tardias. A conscientização sobre seus sintomas e diagnóstico é fundamental para profissionais de saúde, pacientes e familiares.