As metástases no sistema nervoso central (SNC) e na coluna vertebral representam a forma mais comum de tumores malignos no SNC, ocorrendo em até 30% dos pacientes com câncer. Essas lesões secundárias resultam da disseminação hematogênica de células tumorais provenientes de órgãos primários como pulmão, mama, rim, trato gastrointestinal e pele (melanoma).

Fisiopatologia e Localização
Metástases Cerebrais
- Localização Predominante: áreas altamente vascularizadas, como os hemisférios cerebrais (85%), cerebelo (10-15%) e tronco encefálico (5%).
- Efeitos no SNC: alteram a função neurológica devido ao efeito de massa, edema vasogênico e inflamação local.
Metástases Espinhais
- Localização Frequente: vértebras torácicas (70%), seguidas pelas regiões lombar (20%) e cervical (10%).
- Complicações: podem invadir o canal medular, causando compressão da medula espinhal ou das raízes nervosas.
Disseminação Leptomeníngea
- Incidência: ocorre em 5-10% dos pacientes com câncer metastático.
- Características: invasão das meninges e do líquor.
- Associação: mais comum em cânceres de pulmão, mama e leucemias/linfomas.
Quadro Clínico
Os sintomas dependem da localização das metástases e da extensão do comprometimento neurológico.
Metástases Cerebrais
- Cefaleia: progressiva e resistente a analgésicos.
- Déficits Neurológicos Focais: paresia, hemiparesia, distúrbios visuais.
- Crises Convulsivas: de início tardio.
- Alterações Cognitivas: confusão mental e mudanças de personalidade.
Metástases Espinhais
- Dor Localizada: frequentemente exacerbada pelo movimento.
- Sintomas Radiculares: dor irradiada e parestesias.
- Déficits Motores e Sensoriais: fraqueza progressiva, perda sensorial ou paraplegia em casos de compressão medular.
Disseminação Leptomeníngea
- Sintomas Gerais: cefaleia difusa, náuseas e vômitos.
- Comprometimento Neurológico: neuropatias cranianas e radiculopatias.
- Hidrocefalia Comunicante: pode ocorrer em casos avançados.
Diagnóstico
O diagnóstico exige uma abordagem multidisciplinar com métodos de alta precisão.
Ressonância Magnética (RM)
- Padrão Ouro: para detectar metástases cerebrais e espinhais.
- Realce com Gadolínio: essencial para caracterizar as lesões.

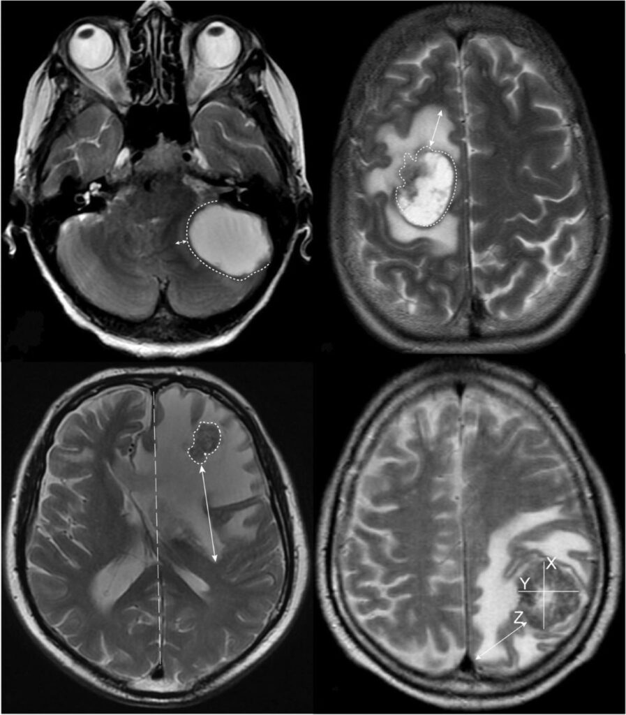
RMN DE ENCÉFALO: METÁSTASES CEREBRAIS
Tomografia Computadorizada (TC)
- Avaliação Óssea: útil para avaliar a integridade óssea em metástases espinhais.
Punção Lombar e Análise do Líquor
- Indicação: diagnóstico de carcinomatose meníngea (disseminação leptomeníngea).
Biópsia
- Confirmação Histopatológica: necessária especialmente em lesões atípicas.
Tratamento
O manejo de metástases no SNC e coluna é altamente individualizado, utilizando uma abordagem integrada.
Cirurgia
- Indicações:
- remoção de massas sintomáticas.
- estabilização espinhal em casos de compressão medular.
- Abordagens Minimamente Invasivas: como a estabilização percutânea, estão em expansão.

RESSECÇÃO NEUROCIRÚRGICA DE METÁSTASE CEREBRAL
Radioterapia
- Radiocirurgia Estereotáxica: tratamento de alta precisão, ideal para metástases cerebrais pequenas e únicas.
- Radioterapia Convencional: utilizada para múltiplas metástases cerebrais ou espinhais.
Terapias Sistêmicas
- Quimioterapia: indicada para tumores primários sensíveis, como linfomas.
- Imunoterapia e Terapias-Alvo: opções emergentes, especialmente para câncer de pulmão e melanoma metastáticos com mutações específicas (como EGFR e BRAF).
Cuidados Paliativos
- Controle da Dor: manejo adequado para melhorar a qualidade de vida.
- Manejo de Sintomas Neurológicos: incluindo crises convulsivas.
- Suporte Psicossocial: assistência emocional e social ao paciente e família.
Prognóstico
Embora as metástases no SNC e coluna geralmente indiquem doença avançada, avanços no diagnóstico e no tratamento têm prolongado a sobrevida e melhorando a qualidade de vida dos pacientes. Fatores prognósticos importantes incluem:
- Extensão das Metástases: número e tamanho das lesões.
- Controle do Tumor Primário: resposta ao tratamento do câncer original.
- Estado Funcional do Paciente: capacidade de realizar atividades diárias.
- Resposta ao Tratamento Multimodal: eficácia das terapias combinadas.

Nota: O diagnóstico e o tratamento de metástases no sistema nervoso central e coluna vertebral devem ser conduzidos por uma equipe médica especializada. A abordagem multidisciplinar é fundamental para oferecer o melhor cuidado possível ao paciente.