Tumor cerebral
Um tumor cerebral benigno é uma massa de células que cresce lentamente e de maneira organizada no cérebro, sem invadir os tecidos ao redor nem se espalhar para outras partes do corpo. Embora não seja cancerígeno, esse tipo de tumor pode causar complicações sérias devido à sua localização e à pressão que exerce sobre áreas sensíveis do cérebro. Os tipos mais comuns de tumores cerebrais benignos incluem:
- Meningiomas
- Neurinoma do Nervo Acústico (Schwannoma Vestibular)
- Adenoma Hipofisário
Meningioma
O Que é o Meningioma?
O meningioma é o tipo mais comum de tumor cerebral primário, representando cerca de 30% de todos os tumores cerebrais diagnosticados. Ele se origina nas meninges, as membranas que revestem e protegem o cérebro e a medula espinhal, geralmente na camada aracnóide, a intermediária entre as três camadas das meninges (pia-máter e dura-máter).

MENINGIOMA
Sintomas do Meningioma
Os meningiomas de crescimento lento podem permanecer assintomáticos por anos, sendo frequentemente detectados de forma incidental em exames de imagem, como ressonância magnética de crânio (RMN), realizados por outros motivos. No entanto, dependendo de sua localização e tamanho, podem causar:
- Dores de Cabeça
- Alterações Visuais
- Convulsões
- Fraqueza Muscular
- Alterações Cognitivas
- Sintomas Neurológicos Variados: Como dificuldade de fala ou coordenação motora
Diagnóstico e Tratamento
Diagnóstico:
- Exames de Imagem: ressonância magnética (RM) e tomografia computadorizada (TC) para determinar a localização e o tamanho do tumor.
- Avaliação Neurológica: para identificar os sintomas e determinar o impacto do tumor nas funções cerebrais.
Tratamento:
- Monitoramento (Observação): em casos assintomáticos ou de tumores de crescimento lento, com exames regulares para avaliar a evolução.
- Cirurgia: indicada para tumores sintomáticos ou que apresentam risco de compressão de estruturas cerebrais importantes. A ressecção completa é possível em muitos casos, dependendo da localização.
- Radioterapia: utilizada quando a cirurgia não é viável ou para tratar tumores residuais ou recorrentes. Técnicas como a radiocirurgia estereotáxica (Gamma Knife) são frequentemente empregadas.
Prognóstico
A maioria dos meningiomas benignos tem um bom prognóstico, especialmente quando diagnosticados precocemente. A taxa de recorrência após a ressecção completa é baixa, mas depende da localização e do tamanho do tumor.
Neurinoma do Nervo Acústico (Schwannoma Vestibular)
O Que é o Neurinoma do Nervo Acústico?
O neurinoma do nervo acústico, também conhecido como schwannoma vestibular, é um tumor benigno que se origina nas células de Schwann, responsáveis por revestir e proteger os nervos. Ele afeta especificamente o nervo vestibulococlear, envolvido na audição e no equilíbrio, estando localizado entre o ouvido interno e o tronco cerebral.

NEURINOMA DO NERVO ACÚSTICO (SCHWANNOMA VESTIBULAR)
Sintomas do Neurinoma do Nervo Acústico
Esse tumor cresce lentamente, muitas vezes permanecendo assintomático por anos. No entanto, dependendo do tamanho e da localização, pode causar:
- Perda Auditiva Unilateral Progressiva
- Zumbido no Ouvido Afetado
- Desequilíbrio ou Tontura
- Dores de Cabeça
- Dormência Facial
- Dificuldades no Movimento dos Músculos Faciais
Diagnóstico e Tratamento
Diagnóstico:
- Exames de Imagem: ressonância magnética (RM) para identificar a localização e o tamanho do tumor.
- Audiometria: para avaliar a perda auditiva.
Tratamento:
- Acompanhamento Clínico: em casos menores e assintomáticos.
- Radiocirurgia Direcionada (Gamma Knife): para tumores de pequeno a médio porte.
- Neurocirurgia Convencional: para remoção completa do tumor, especialmente em casos maiores ou sintomáticos.
Prognóstico
Os neurinomas do nervo acústico geralmente têm uma boa resposta ao tratamento, com altas taxas de controle tumoral. A preservação das funções auditivas e faciais depende do tamanho do tumor e da abordagem terapêutica escolhida.
Adenoma Hipofisário
O Que é o Adenoma Hipofisário?
O adenoma hipofisário é um tumor benigno que se origina na glândula pituitária, localizada na base do cérebro. A pituitária é responsável pela produção e liberação de hormônios que regulam muitas funções do corpo, incluindo o crescimento, o metabolismo, e a função reprodutiva. Embora a maioria dos adenomas hipofisários seja benigna e de crescimento lento, eles podem causar diversos sintomas, dependendo do tamanho do tumor e dos hormônios que ele pode estar produzindo em excesso.

HIPÓFISE NORMAL
Sintomas do Adenoma Hipofisário
Os sintomas podem variar amplamente, dependendo do tipo de tumor, sua localização e se está afetando a produção hormonal:
- Sintomas Hormonais
- Adenomas Produtores de Prolactina:
- Galactorreia (produção excessiva de leite) em mulheres
- Disfunção sexual em homens
- Irregularidades menstruais
- Adenomas Produtores de Hormônio de Crescimento (GH):
- Gigantismo em crianças
- Acromegalia em adultos (crescimento anormal de mãos, pés e rosto)
- Adenomas Produtores de ACTH:
- Síndrome de Cushing (aumento de cortisol), causando ganho de peso, hipertensão, fraqueza muscular e alterações no rosto (como “rosto de lua cheia”)
- Sintomas Não Hormonais
- Distúrbios Visuais: visão turva ou perda de visão periférica
- Dores de Cabeça: frequentemente localizadas na região frontal
- Fadiga e Alterações no Humor: devido à pressão no cérebro e à interferência nas funções da glândula pituitária
Diagnóstico e Tratamento
Diagnóstico:
- Exames de Imagem: ressonância magnética (RM) para identificar a localização e o tamanho do tumor.
- Testes Laboratoriais: medição dos níveis hormonais para avaliar a função da pituitária.

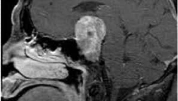
RMN DE HIPÓFISE: ADENOMA HIPOFISÁRIO
Tratamento:
- Medicamentos:
- Agonistas da dopamina, como cabergolina e bromocriptina, para controlar adenomas produtores de prolactina.
- Antagonistas do GH para adenomas produtores de hormônio de crescimento.
- Cirurgia:
- Técnica endoscópica transnasal transesfenoidal, uma abordagem minimamente invasiva, é frequentemente utilizada para remoção do tumor.
- Radioterapia:
- Utilizada quando a remoção cirúrgica não é possível ou para tratar tumores residuais ou recorrentes, com foco na redução do tamanho do tumor e no alívio dos sintomas.

TÉCNICA ENDOSCÓPICA TRANSNASAL TRANSESFENOIDAL
Prognóstico
A maioria dos adenomas hipofisários responde bem ao tratamento, com remissão dos sintomas hormonais e redução do tamanho do tumor. A taxa de recorrência varia conforme o tipo e o tratamento aplicado.
Nossa Expertise
Na Clínica Neurocrânio&Coluna, contamos com uma equipe multidisciplinar altamente especializada no diagnóstico e tratamento de tumores cerebrais benignos. Utilizamos as mais recentes tecnologias e técnicas cirúrgicas avançadas para garantir procedimentos seguros e eficazes, proporcionando o melhor cuidado possível para nossos pacientes.

Nossa equipe inclui neurocirurgiões renomados, neurologistas experientes e especialistas em neuropsicologia, trabalhando juntos para oferecer um tratamento personalizado e de alta qualidade.