Um Acidente Cerebral Vascular (A.V.C.), também conhecido como derrame cerebral, é uma emergência médica que ocorre quando o fluxo sanguíneo para uma parte do cérebro é interrompido ou reduzido, privando as células cerebrais de oxigênio e nutrientes. Em questão de minutos, as células cerebrais começam a morrer, podendo levar a sequelas graves ou até mesmo à morte.

Tipos de A.V.C.
Existem dois tipos principais de A.V.C.:
- Isquêmico
Ocorre quando um vaso sanguíneo que abastece o cérebro é bloqueado por um coágulo sanguíneo. Este é o tipo mais comum de A.V.C., representando aproximadamente 80% dos casos.
- Trombose: formação de um coágulo dentro de um vaso sanguíneo cerebral.
- Embolia: coágulo que se forma em outra parte do corpo (geralmente no coração) e viaja para o cérebro, bloqueando um vaso.
- Hemorrágico
Ocorre quando um vaso sanguíneo no cérebro se rompe, causando sangramento no tecido cerebral.
- Hemorragia Intracerebral: sangramento dentro do próprio cérebro.
- Hemorragia Subaracnóide: sangramento na área entre o cérebro e a membrana que o envolve (aracnóide).

Sintomas de um A.V.C.
Os sintomas de um A.V.C. geralmente aparecem de forma súbita e podem incluir:
- Fraqueza ou Dormência: especialmente em um lado do corpo (braço, perna, face).
- Dificuldade para Falar ou Compreender: problemas na fala ou na compreensão de palavras.
- Problemas de Visão: perda súbita de visão em um ou ambos os olhos.
- Dificuldade de Equilíbrio ou Coordenação: tontura, perda de equilíbrio ou coordenação.
- Dor de Cabeça Intensa: sem causa aparente, podendo ser acompanhada de náuseas ou vômitos.
Fatores de Risco
Conhecer os fatores de risco é essencial para prevenir um A.V.C.. Os principais incluem:
- Hipertensão Arterial: a pressão alta é o maior fator de risco.
- Diabetes: aumenta o risco de danos nos vasos sanguíneos.
- Colesterol Alto: contribui para a formação de placas nas artérias.
- Tabagismo: danifica os vasos sanguíneos e aumenta a pressão arterial.
- Obesidade: associada a diversos fatores de risco cardiovascular.
- Sedentarismo: a falta de atividade física contribui para várias condições de risco.
- Histórico Familiar: antecedentes familiares de ACV aumentam o risco.
- Consumo Excessivo de Álcool: pode elevar a pressão arterial e contribuir para a formação de coágulos.
Diagnóstico do A.V.C.
O diagnóstico rápido e preciso é crucial para o tratamento eficaz do A.V.C.. Os principais métodos diagnósticos incluem:
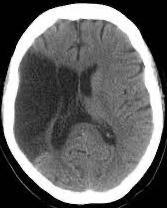
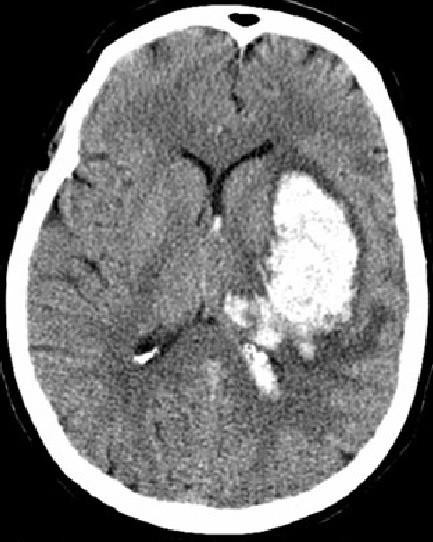
- Tomografia Computadorizada (TC)
De rápida execução, permite a diferenciação entre A.V.C. isquêmico e hemorrágico, monitoramento da evolução do A.V.C. e detecção de condições concomitantes.

AVC ISQUÊMICO
(ÁREA ESCURA)

AVC HEMORRÁGICO
(ÁREA BRANCA)
- Ressonância Magnética de Encéfalo (RM) e Angio-RMN
Além de identificar áreas específicas afetadas pelo A.V.C. isquêmico ou hemorrágico, é especialmente útil para identificar lesões isquêmicas em estágios iniciais, onde a TC pode não detectar alterações significativas.
- Exames de Sangue
Avaliam fatores que podem contribuir para o A.V.C., como níveis de glicose, colesterol e coagulação sanguínea.
- Ultrassonografia Doppler
Exame que avalia o fluxo sanguíneo nas artérias carótidas, principais responsáveis pelo fornecimento de sangue ao cérebro.
Tratamento do A.V.C.
O tratamento varia conforme o tipo de A.V.C. e a rapidez com que é iniciado:
- Tratamento para A.V.C. Isquêmico
- Trombolíticos: medicamentos que dissolvem coágulos, administrados nas primeiras horas após o início dos sintomas (geralmente dentro de 4,5 horas).
- Trombectomia Mecânica: procedimento cirúrgico para remover o coágulo, indicado em casos de grandes coágulos que não respondem aos trombolíticos.
- Tratamento para A.V.C. Hemorrágico
- Controle da Pressão Arterial: reduzir a pressão para minimizar o sangramento.
- Cirurgias: remoção de sangue acumulado ou reparação de vasos sanguíneos rompidos.
- Embolização: técnica endovascular para bloquear vasos sanguíneos que estão sangrando.

- Tratamento medicamentoso Pós-A.V.C.:
- Tratamento Pós-A.V.C. Trombótico:
- A.A.S. e similares: administração de ácido acetilsalicílico (A.A.S.) ou outros antiagregantes plaquetários como clopidogrel. Duração: geralmente a vida toda, iniciando logo após o A.V.C. para prevenir novos eventos.
- Anticoagulantes (Heparina e similares): uso de heparina de baixo peso molecular ou varfarina em casos específicos, especialmente se houver condições subjacentes como fibrilação atrial. Duração: Pode variar de meses a vida toda, dependendo da condição.
- Estatinas: medicações para reduzir o colesterol e estabilizar placas nas artérias. Duração: Indefinida, como parte da terapia contínua.
- Controle de Fatores de Risco: gestão rigorosa da hipertensão, diabetes e outros fatores de risco para prevenir recorrências.
- Tratamento Pós-A.V.C. Embólico:
- Anticoagulantes: administração de varfarina, dabigatrana, rivaroxabana ou apixabana para prevenir a formação de novos coágulos. Duração: geralmente a vida toda, especialmente em casos de fibrilação atrial.
- A.A.S. e similares: pode ser combinado com anticoagulantes em alguns casos, embora isso requeira avaliação cuidadosa devido ao risco aumentado de sangramento. Duração: variável conforme a indicação médica.
- Tratamentos Cardíacos: como ablação cardíaca ou colocação de dispositivos para prevenir a formação de coágulos.
- Estatinas: para redução do colesterol e estabilização das placas arteriais.
- Duração: indefinida, como parte da terapia contínua.
- Controle de Fatores de Risco: inclui manejo da hipertensão, diabetes, e cessação do tabagismo.

Quando Indicar a Combinação de AAS com Outros Antiagregantes Plaquetários no Tratamento de A.V.C. isquêmico?
A combinação de Ácido Acetilsalicílico (A.A.S.) com outros antiagregantes plaquetários é uma estratégia terapêutica utilizada em situações específicas para aumentar a eficácia na prevenção de eventos trombóticos e reduzir o risco de recorrência de Acidente Cerebral Vascular (A.V.C.) isquêmico. A seguir, detalhamos os principais cenários clínicos onde essa combinação é indicada:

- Após um Acidente Cerebral Isquêmico Menor ou Ataque Isquêmico Transitório (A.I.T.)

- Indicação: pacientes que sofreram um A.V.C. isquêmico menor ou um A.I.T., que são sinais de alerta para um possível A.V.C. maior no futuro.
- Combinação Recomendada:
- A.A.S. + Dipiridamol: a associação de A.A.S. (75-100 mg/dia) com dipiridamol (200 mg duas vezes ao dia) tem mostrado reduzir significativamente o risco de A.V.C. recorrente em pacientes com histórico de A.I.T. ou A.V.C. isquêmico menor.
- Duração: geralmente recomendada por pelo menos 2 semanas, podendo ser mantida a longo prazo conforme avaliação clínica e resposta do paciente.
- Pacientes com Doença Arterial Coronária e A.V.C. Isquêmico
- Indicação: pacientes que possuem simultaneamente doença arterial coronariana (como angina ou infarto do miocárdio) e sofreram um A.V.C. isquêmico.
- Combinação Recomendada:
- AAS + Clopidogrel: a combinação de A.A.S. com clopidogrel é indicada para prevenir eventos aterotrombóticos adicionais, como novos A.V.C.s e infartos.
- Duração: geralmente utilizada por um período limitado (por exemplo, 1 a 3 meses) devido ao aumento do risco de sangramento.
- Tratamento Pós-Endarterectomia Carotídea
- Indicação: pacientes que passaram por uma endarterectomia carotídea para prevenir novos A.V.C.s.
- Combinação Recomendada:
- A.A.S. + Dipiridamol: Pode ser utilizada para reduzir a recorrência de A.V.C. pós-procedimento.
- Duração: a depender da avaliação médica, geralmente por 1 a 3 meses.
- Pacientes com Stents Coronarianos e A.V.C.
- Indicação: pacientes que receberam stents coronarianos e têm risco de A.V.C.
- Combinação Recomendada:
- AAS + Clopidogrel ou Prasugrel: utilizado para prevenir a formação de coágulos nos stents e reduzir o risco de A.V.C.
- Duração: a combinação é mantida por um período específico, geralmente de 6 a 12 meses, dependendo do tipo de stent e da avaliação clínica.
- Prevenção Secundária em Pacientes com Alto Risco de Recorrência
- Indicação: pacientes com múltiplos fatores de risco para A.V.C. ou com histórico de
A.V.C. recorrente.
- Combinação Recomendada:
- A.A.S. + Clopidogrel ou A.A.S. + Dipiridamol: em alguns casos, a combinação pode ser escolhida para aumentar a eficácia na prevenção de novos A.V.C.s.
- Duração: depende da avaliação clínica individualizada e do balanço entre benefícios e riscos de sangramento.
- Pacientes com A.V.C. Embólico e Fibrilação Atrial
- Indicação: pacientes que sofreram um A.V.C. embólico associado a fibrilação atrial.
- Combinação Recomendada:
- Anticoagulantes + AAS: embora os anticoagulantes sejam a primeira linha, em algumas situações específicas, a combinação com AAS pode ser considerada para prevenção adicional.
- Duração: a depender da condição subjacente e das recomendações clínicas.
Considerações Importantes
Monitoramento Clínico
A combinação de AAS com outros antiagregantes plaquetários aumenta o risco de sangramento gastrointestinal e outras complicações hemorrágicas. Portanto, é essencial avaliar cuidadosamente os riscos e benefícios antes de iniciar a terapia combinada. Pacientes em terapia combinada devem ser monitorados regularmente para avaliar a eficácia do tratamento e detectar possíveis efeitos colaterais, como sinais de sangramento. Ajustes na dose ou mudanças de medicação podem ser necessários conforme a resposta clínica e a tolerância do paciente.
Recuperação e Reabilitação
A recuperação de um A.V.C. pode variar amplamente, dependendo da gravidade e da área afetada do cérebro. A reabilitação é uma parte essencial do processo de recuperação e pode incluir:
- Fisioterapia: para melhorar a força e a coordenação.
- Terapia Ocupacional: auxilia na recuperação das habilidades diárias.
- Fonoaudiologia: tratamento de dificuldades de fala e comunicação.
- Suporte Psicológico: ajuda a lidar com as mudanças emocionais e cognitivas.
Prevenção do A.V.C.
Prevenir um A.V.C. envolve a gestão dos fatores de risco e a adoção de um estilo de vida saudável:
- Controle da Hipertensão: monitoramento regular da pressão arterial.
- Alimentação Saudável: dieta balanceada rica em frutas, vegetais e grãos integrais.
- Exercícios Físicos Regulares: atividade física moderada pelo menos 150 minutos por semana.
- Evitar o Tabagismo: cessar o uso de produtos de tabaco.
- Limitar o Consumo de Álcool: moderar a ingestão de bebidas alcoólicas.
- Gerenciamento do Diabetes e Colesterol: controle rigoroso das condições de saúde associadas.
- Manutenção de Peso Saudável: reduzir o risco de obesidade e suas complicações.

Conclusão
O Acidente Cerebral Vascular (A.V.C.) é uma condição médica séria que requer atenção imediata e tratamento adequado para minimizar danos cerebrais e melhorar as chances de recuperação. Compreender os tipos, sintomas, fatores de risco e opções de tratamento é essencial para prevenção e manejo eficaz.