Coluna vertebral

/

Epilepsia

Epilepsia: Diagnóstico e Tratamento Clínico – Neurocirúrgico Avançado

A epilepsia é um distúrbio neurológico crônico caracterizado por crises epilépticas recorrentes. Essas crises resultam de descargas elétricas anormais no cérebro e podem variar de leves alterações de consciência a convulsões intensas. A condição pode afetar pessoas de todas as idades e está frequentemente associada a impactos significativos na qualidade de vida.

DIA 26 DE MARÇO – DIA MUNDIAL DE CONSCIENTIZAÇÃO DA EPILEPSIA

Enquanto muitos pacientes conseguem controlar as crises com medicamentos, aproximadamente 30% apresentam epilepsia refratária, ou seja, que não responde adequadamente às medicações. Nesses casos, o tratamento neurocirúrgico pode ser a solução ideal.

Tipos de Epilepsia

Epilepsia Focal

  • Origem em uma Área Específica do Cérebro.
  • Simples Focal: crises sem perda de consciência.
  • Complexa Focal: crises com alterações de consciência ou comportamento.

Epilepsia Generalizada

  • Afeta Ambos os Hemisférios Cerebrais.
  • Crises Tônico-Clônicas: rigidez muscular seguida de convulsões.
  • Ausência: perda breve de consciência sem convulsões.
  • Mioclônicas: movimentos musculares rápidos e involuntários.
  • Atônicas: perda súbita do tônus muscular, resultando em quedas.

SINTOMAS DE EPILEPSIA

Diagnóstico Avançado de Epilepsia

Um diagnóstico preciso é essencial para determinar o melhor tratamento. Os exames incluem:

  1. Eletroencefalograma (EEG): detectar descargas elétricas anormais.
  2. Ressonância Magnética (RM): visualiza lesões ou alterações estruturais.
  3. Video Eletroencefalograma (VEEG): monitora crises em tempo real.
  4. Exames de Sangue: identificam causas metabólicas ou genéticas.
  5. Testes Neuropsicológicos: avaliam o impacto cognitivo das crises.

E..E.G. – ELETROENCEFALOGRAMA

Tratamento Clínico da Epilepsia

Anticonvulsivantes Tradicionais

  1. Fenitoína
  • Indicado para crises tônico-clônicas e parciais.
  • Monitoramento do nível sérico pode ser necessário.
  1. Carbamazepina
  • Usada em crises parciais e tônico-clônicas.
  • Contra-Indicada em crises de ausência.
  1. Ácido Valpróico (Valproato)
  • Eficaz em crises generalizadas (tônico-clônicas, ausência e mioclônicas).
  • Útil também no transtorno bipolar e enxaquecas.
  1. Fenobarbital
  • Um dos anticonvulsivantes mais antigos.
  • Usado em casos refratários ou como segunda linha.
  1. Primidona
  • Metabolizado em fenobarbital, utilizado para tremores essenciais e crises focais.

Anticonvulsivantes de Segunda Geração

  1. Lamotrigina
  • Eficaz em crises generalizadas e focais, incluindo epilepsia associada a transtorno bipolar.
  • Menor risco de sedação, mas pode causar rash cutâneo grave.
  1. Levetiracetam
  • Amplamente usado para crises focais, generalizadas e epilepsia mioclônica juvenil.
  • Bem tolerado, com poucos efeitos colaterais.
  1. Topiramato
  • Útil em crises focais, generalizadas e na síndrome de Lennox-Gastaut.
  • Também usado para enxaquecas e perda de peso.
  1. Oxcarbazepina
  • Semelhante à carbamazepina, mas com menos efeitos colaterais.
  • Indicado em crises focais.
  1. Gabapentina
  • Usada principalmente para crises focais e dor neuropática.
  1. Pregabalina
  • Similar à gabapentina, com indicações para crises focais e dor neuropática.
  1. Tiagabina
  • Exclusivamente indicado para crises focais.
  1. Zonisamida
  • Útil para crises focais e generalizadas, com efeito adicional em crises mioclônicas.

Anticonvulsivantes de Terceira Geração

  1. Lacosamida
  • Indicado para crises focais em adultos, geralmente em associação com outros anticonvulsivantes.
  1. Eslicarbazepina
  • Um derivado da oxcarbazepina, com melhor perfil de tolerabilidade.
  1. Perampanel
  • Indicado para crises tônico-clônicas generalizadas e focais.
  1. Brivaracetam
  • Similar ao levetiracetam, mas com menor taxa de efeitos adversos comportamentais.

Anticonvulsivantes Específicos

  1. Etossuximida
  • Indicado especificamente para crises de ausência.
  1. Rufinamida
  • Usado na síndrome de Lennox-Gastaut.
  1. Vigabatrina
  • Tratamento de crises focais e espasmos infantis (síndrome de West).
  1. Clobazam
  • Um benzodiazepínico utilizado em crises refratárias, incluindo Lennox-Gastaut.
  1. Felbamato
  • Reservado para crises graves devido ao risco de toxicidade hepática e anemia aplástica.

Uso Adicional de Benzodiazepínicos em Emergências

  • Diazepam e Lorazepam: tratamento de crises agudas, como o status epilepticus.
  • Clonazepam: indicado para crises de ausência e mioclônicas.

Tratamento Neurocirúrgico da Epilepsia

O tratamento cirúrgico é indicado para epilepsia refratária. As principais técnicas incluem:

  1. Ressecção Cortical: remoção da área epileptogênica.
  2. Lobectomia Temporal Anterior e Ressecção Hipocampal Seletiva: remoção de parte do lobo temporal, ideal para casos de esclerose mesial temporal (vide abaixo).
  3. Disjunção Corpus Callosum: impede a propagação das crises entre os hemisférios cerebrais.
  4. Neuroestimulação:
  • Estimulação do Nervo Vago (E.N.V.): um gerador de pulso regula os impulsos cerebrais.
  • Estimulação Cerebral Profunda (D.B.S.): implantes que modulam a atividade elétrica do cérebro.

Esclerose Mesial Temporal (E.M.T.)

A esclerose temporal mesial (E.M.T.) é a causa mais comum de epilepsia estrutural e crises focais no lobo temporal, afetando o hipocampo, que é a região do cérebro envolvida na formação e recuperação da memória, e a amígdala, que está envolvida no processamento emocional. Histologicamente apresenta atrofia e gliose do hipocampo.

O que causa a E.M.T.?

A causa exata da esclerose temporal mesial ainda não está clara. Alguns casos podem resultar de lesões nesta parte do cérebro devido a convulsões febris prolongadas. Em outros casos, uma susceptibilidade genética pode desempenhar um papel, especialmente em casos onde membros da família tiveram convulsões semelhantes. Outras causas estão relacionadas a infecções virais e encefalite, devido a vírus como o herpesvírus humano tipo 6 (HHV-6), ou a doenças autoimunes onde o sistema imunológico produz proteínas que podem atacar o cérebro. Convulsões prolongadas e status epilepticus também podem causar danos ao lobo temporal e induzir MTS em pacientes com diferentes outros tipos de epilepsia.

Características das Crises Focais na E.M.T.

As crises focais relacionadas à ETM apresentam uma variedade de sintomas, dependendo das áreas cerebrais envolvidas. Elas podem ser classificadas da seguinte forma:

  1. Crises Focais Sem Alteração da Consciência

Estas crises geralmente mantêm o paciente consciente e apresentam os seguintes sintomas típicos:

  • Sensações Abdominais e Digestivas: sensação de “subida” no estômago ou na garganta, semelhante a enjoo.
  • Alterações Emocionais: medo ou ansiedade repentina e inexplicável.
  • Pausas no Comportamento: interrupção momentânea das atividades habituais (parada comportamental).
  • Déjà Vu: sensação de familiaridade, como se a situação atual já tivesse ocorrido antes.
  • Jamais Vu: sensação de estranheza ou de que algo familiar parece completamente desconhecido.
  • Alterações Sensoriais: gosto ou cheiro anormal e desagradável, embora esses sintomas sejam mais raros.
  1. Crises Focais com Alteração da Consciência

Quando a crise progride para uma alteração da consciência, os seguintes sintomas podem ser observados:

  • Movimentos Motores Anormais: movimentos automáticos, como pegar ou mexer em objetos com as mãos, ou ainda movimentos mastigatórios ou de estalar os lábios.
  • Comportamentos Automáticos: ações repetitivas e aparentemente sem propósito.

Evolução para Crises Tônico-Clônicas Generalizadas

Algumas crises focais podem progredir para crises tônico-clônicas generalizadas, que envolvem rigidez muscular inicial (fase tônica) seguida por movimentos convulsivos repetitivos (fase clônica). Essas crises podem ser mais graves e exigem atenção médica imediata.

Impactos nas Funções de Memória e Linguagem

Devido à localização do foco epiléptico no lobo temporal, onde estão áreas críticas para a linguagem e a memória, as crises frequentemente resultam em:

  • Amnésia Pós-Crítica: incapacidade de lembrar que ocorreu uma crise.
  • Déficit Transitório de Linguagem: dificuldade para falar ou compreender a linguagem durante e logo após a crise.

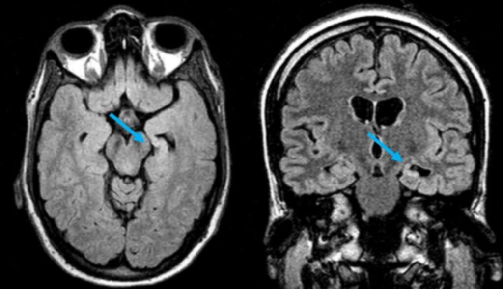
Diagnóstico Radiológico

R.M.N. COM ESCLEROSE MESIAL TEMPORAL ESQUERDA: HIPOCAMPO PEQUENO E BRILHANTE, COM PERDA DE ESTRUTURAS INTERNAS (SETA AZUL)

Como é tratada a E.M.T.?

O tratamento de primeira linha são os medicamentos anticonvulsivantes. Não há evidências de que algum medicamento seja mais eficaz. Se o primeiro medicamento não conseguir controlar as convulsões, um segundo medicamento é tipicamente tentado. Se dois medicamentos não funcionarem para parar as convulsões em doses adequadas, as convulsões são consideradas resistentes a medicamentos, pois é improvável que outros medicamentos sejam bem-sucedidos. É recomendável que os pacientes sejam encaminhados para uma possível avaliação cirúrgica. Se a E.M.T. for encontrada apenas de um lado do cérebro, então a ressecção cirúrgica provavelmente é a melhor opção para controlar as convulsões. Existem várias opções de cirurgia, que variam de opções minimamente invasivas a opções mais invasivas.

Tratamento Cirúrgico da E.M.T.

  1. Lobectomia Temporal Anterior (LTA):
  • Descrição: Envolve a remoção de uma porção do lobo temporal, incluindo estruturas corticais e subcorticais. O objetivo é remover tanto o tecido cerebral epileptogênico quanto estruturas relacionadas, como o hipocampo e a amígdala, se necessário.
  • Extensão da Remoção:
  • Parte anterior do lobo temporal (geralmente 3 a 5 cm do lobo temporal dominante ou até 6 cm do lobo temporal não dominante).
  • Pode incluir o hipocampo e a amígdala, dependendo da avaliação pré-cirúrgica.
  • Indicação: é indicada quando há evidências claras de que o foco epileptogênico se encontra em uma área mais ampla do lobo temporal.
  • Objetivo: alcançar o controle das crises removendo áreas mais amplas de disfunção cerebral.
  1. Amigdalohipocampectomia (AH):
  • Descrição: envolve a remoção seletiva da amígdala, hipocampo e parte do giro parahipocampal, deixando o restante do lobo temporal intacto.
  • Extensão da Remoção:
  • Apenas as estruturas mesiais do lobo temporal (amígdala, hipocampo e giro parahipocampal).
  • O córtex temporal lateral e outras áreas do lobo temporal são preservados.
  • Indicação: indicada em pacientes com epilepsia temporal média, onde a atividade epileptogênica está claramente restrita às estruturas mesiais do lobo temporal.
  • Objetivo: minimizar o impacto cognitivo e funcional da cirurgia, preservando as áreas corticais não envolvidas nas crises.

Benefícios do Tratamento Cirúrgico

  • Redução das Crises: cerca de 70-80% dos pacientes têm redução ou eliminação das crises.
  • Melhora        na        Qualidade        de Vida: redução de limitações diárias e maior independência.
  • Menor Dependência de Medicamentos: reduzindo efeitos colaterais.

Perguntas Frequentes (FAQs)

  1. Quem é um bom candidato para cirurgia de epilepsia?

Pacientes com epilepsia refratária e foco epileptogênico bem identificado.

  1. A cirurgia pode eliminar completamente as crises?

Em até 80% dos casos, os pacientes ficam livres de crises ou têm redução significativa.

  1. Quanto tempo leva para se recuperar de uma cirurgia de epilepsia?

A recuperação varia, mas geralmente envolve hospitalização de 3 a 5 dias e acompanhamento contínuo.

  1. Quais os riscos da cirurgia?

Infecção, sangramento ou déficits neurológicos são raros, especialmente com equipes experientes.

Para saber mais sobre o assunto ou esclarecer suas dúvidas, mande um e-mail: [email protected]